ПАРОДОНТОЛОГІЧНЕ ЛІКУВАННЯ

Відчутний результат вже на наступний день!

Лікування ясен

Симптоми пародонтиту / пародонтозу, які вимагають термінового звернення
до лікаря-пародонтолога
Кровоточивість ясен;
Неприємний запах з рота;
Величезна кількість зубного каменю;
Почервоніння або запалення ясен;
Ви можете і не здогадуватися про захворювання
Але якщо спостерігаються симптоми - у Вас пародонтит!
Рухливість зубів, поява щілин між зубами;
Чутливість ясен.
Результати лікування
Этап лечения
Этап лечения
Задати питання
Як проводиться лікування
Заповнення PSR тесту
Він служить навігатором, який показує:
  • стан тканин ясен;
  • наявність або відсутність пародонтиту.
Після процедури Вам видається результат з докладною розшифровкою і планом подальших дій.
Perio діагностика
Перед тим, як приступити до лікування, ми проводимо повну діагностику для визначення ступеня захворювання
1
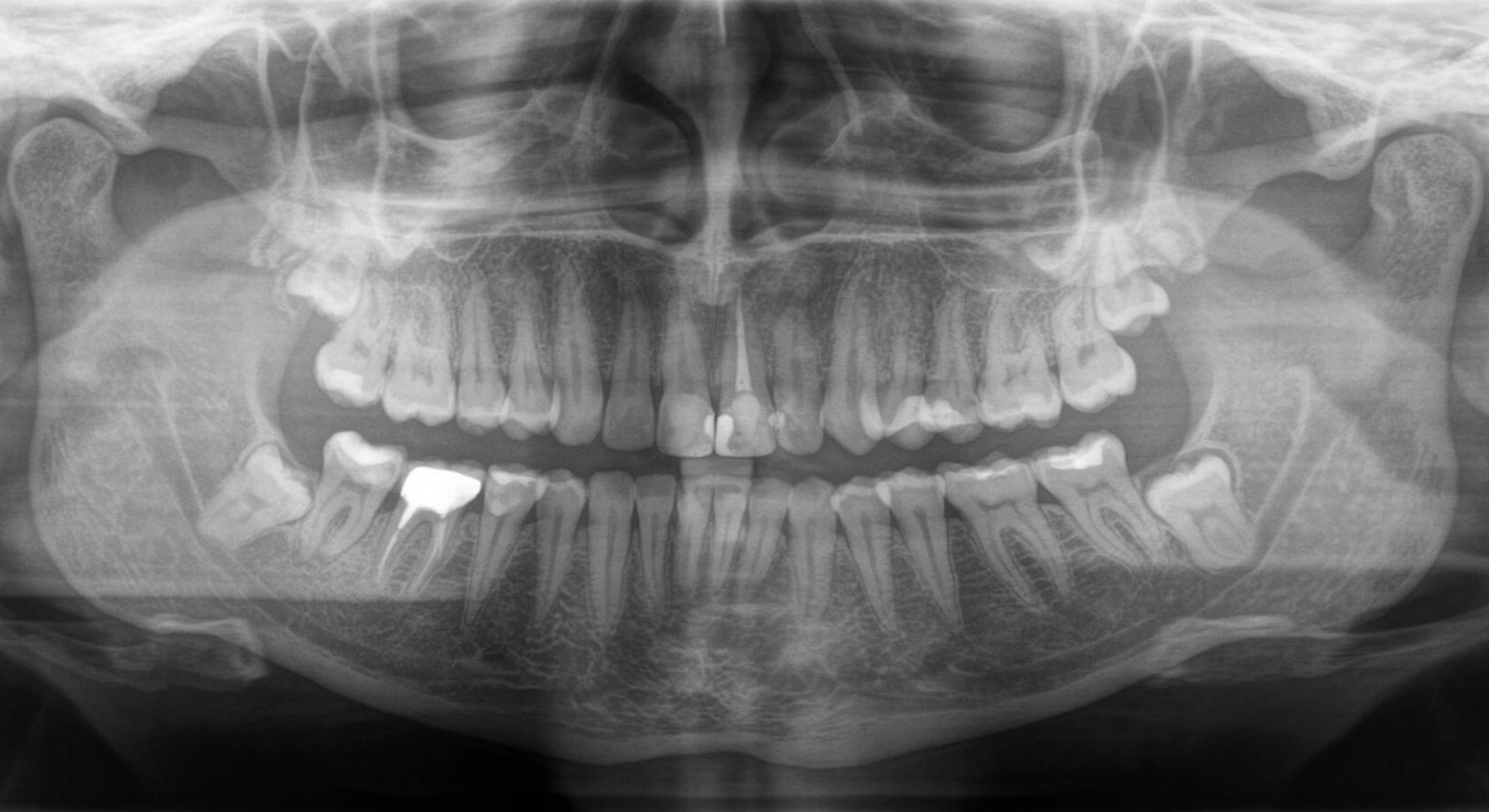
Рентген-діагностика
Дозволяє визначити рівень кістки, виявити можливі причини виникнення пародонтиту і відстежити динаміку лікування
2
Візуальний огляд
Ретельний огляд порожнини рота з використанням збільшення дозволяє виявити явні зони запалення ясен і їх можливі причини: неякісні пломби, коронки, зуби мудрості і т.д.
3
Консультація
На цьому етапі ми показуємо результати Perio діагностики, пояснюємо Вашу ситуацію і описуємо подробиці подальшого лікування.
4
Этап лечения
Этап лечения
Записатися на консультацію
Вартість консультації — 600 грн:
Рентгенівський знімок, PSR тест, фотодокументація, консультація лікаря пародонтолога
Вартість консультації — 600 грн:
  • рентгенівський знімок;
  • PSR тест;
  • фотодокументація;
  • консультація лікаря пародонтолога.
Виберіть ступінь пародонтиту:
Запалення крайової
частини ясен без залучення кістки
Етапи лікування:
1. Знімаються надясеневі зубні відкладення, щоб приступити до очищення кореня від зубного каменю.
2. Очищення зубоясеневої борозни з використанням ручних інструментів Hu-Friedy.
3. Проводиться антисептична обробка пародонтальних кишень.
4. Над-і підясеневе полірування повітряно-абразивними системами Air-Flow c індивідуальним підбором ступеня абразивності порошку.
5. Проводиться урок гігієни з підбором і видачею засобів догляду за порожниною рота.

Процедура безболісна, при необхідності застосовується анестетик. Гінгівіт зупинити легше, ніж пародонтит / пародонтоз.
Гінгівіт
Вартість - 160€
Запалення ясен
і частково кістки (до 1/3 довжини кореня)
Етапи лікування:
1. Знімаються надясеневі зубні відкладення, щоб приступити до очищення кореня від зубного каменю.
2. Очищення і згладжування поверхні кореня з використанням ручних інструментів для підясневої чистки Hu-Friedy.
3. Проводиться антисептична обробка пародонтальних кишень.
4. Над-і підясневе полірування повітряно-абразивними системами Air-Flow c індивідуальним підбором ступеня абразивності порошку.
5. Проводиться урок гігієни з підбором і видачею засобів догляду за порожниною рота.

Процедура безболісна, при необхідності застосовується анестетик.
Пародонтит легкого ступеня
Вартість - 350€
Запалення ясен
і частково кістки (до 1/2 довжини кореня)
Етапи лікування:
1. Знімаються надясеневі зубні відкладення, щоб приступити до очищення кореня від зубного каменю.
2. Проводиться очищення і згладжування поверхні кореня з використанням ручних інструментів для підясневої чистки Hu-Friedy.
3. Проводиться антисептична обробка пародонтальних кишень.
4. Над-і підясеневе полірування повітряно-абразивними системами Air-Flow c індивідуальним підбором ступеня абразивності порошку.
5. Використовується додаткова методика лікування - озонотерапія.
6. Проводитися урок гігієни з підбором і видачею засобів догляду за порожниною рота.

Процедура безболісна, при необхідності застосовується анестетик.
Пародонтит середнього ступеня
Вартість - 550€
Запалення ясен і частково кістки аж до
повної її відсутності (більше 1/2 довжини кореня)
Етапи лікування:
1. Проводиться антибіотикотерапія.
2. Знімаються надясеневі зубні відкладення, щоб приступити до очищення кореня від зубного каменю.
3. Проводиться очищення і згладжування поверхні кореня з використанням ручних інструментів для підясеневої чистки Hu-Friedy.
4. Проводиться антисептична обробка пародонтальних кишень.
5. Над-і підясеневе полірування повітряно-абразивними системами Air-Flow c індивідуальним підбором ступеня абразивності порошку.
6. Використовується додаткова методика лікування - озонотерапія.
7. Проводитися урок гігієни з підбором і видачею засобів догляду за порожниною рота.

Процедура безболісна, при необхідності застосовується анестетик.
Пародонтит важкого ступеня
Вартість - 800€
Этап лечения
Этап лечения
Запишіться на консультацію
Вартість консультації — 600 грн:
Рентгенівський знімок, PSR тест, фотодокументація, консультація лікаря пародонтолога
Вартість консультації — 600 грн:
  • рентгенівський знімок;
  • PSR тест;
  • фотодокументація;
  • консультація лікаря пародонтолога.
Часто задавані питання
Часто задавані питання